• BR Tissue Perfusion

    • To quantify blood perfusion in organs (non-cardiac indications).
      Provide a reliable method for quantifying organ perfusion, obtained from DCE-US examinations.
    • With specific tools to monitor perfusion of the same tissue over time.
      Provide means for displaying temporal evolution of perfusion parameters on the same tissue after successive acquisitions.
       

     

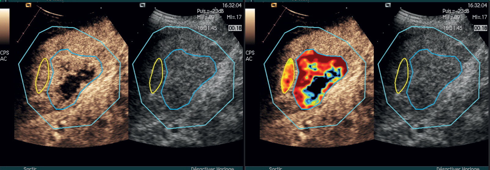
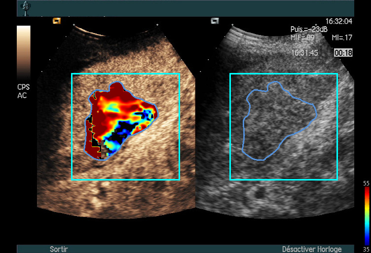
    Tissue Normalization

    • To highlight differences in contrast enhancement patterns in different regions of interest of the analysed tissue.
      Provide tools to summarize the specificities of the difference signals signatures into a single, easy-to-read color-coded image.
       

     

    Low-Intensity Signal

    • To detect vascularization and determine vascularized areas in low-intensity signal areas.
    • Specific vascularization parameters: ROI area, perfused area, relative perfused area, mean opacification.
       
For Research UseEE Only - Not for clinical diagnosis

Vuebox® Research is for RESEARCH USEEE ONLY and is not intended for use in diagnostic and/or clinical procedures.  

For Research UseEE Only - Not for clinical diagnosis

Vuebox® Research is for RESEARCH USEEE ONLY and is not intended for use in diagnostic and/or clinical procedures.